Early cancer detection significantly improves recovery rates; therefore, researchers are always looking for new detection methods. A new study has revealed that blood biomarkers could be used to detect tumors more than three years before a diagnosis is made. It turns out that the secret lies in minuscule fragments of genetic material that the tumors...
Cancer
Danni Duncan thought she was doing everything right. The 39-year-old Melbourne fitness coach ate 90 percent whole foods, worked out daily, and barely touched alcohol. Her four kids know her as the mom who makes homemade snacks and prioritizes health above everything else. So when doctors found a 0.7 x 0.8-inch cancer tumor in her bowel that had already...
Many are very familiar with oregano and its ability transforms ordinary dishes into flavorful masterpieces. This Mediterranean herb, from the Lamiaceae family, offers far more than culinary appeal. Scientific research reveals oregano benefits extend deep into human health, supporting everything from immune function to heart health. Modern studies validate what ancient healers knew centuries ago...
Oral cancer, also known as mouth cancer, affects the tissues within the mouth and throat. This disease can develop on the lips, gums, tongue, inner lining of the cheeks, roof, and floor of the mouth. They usually appear as white patches, red patches or tongue sores. Mouth cancer symptoms may be mistaken with canker sores....
Joe Fornasiero seemed to be the picture of perfect health. As a fitness fanatic from Brighton, Michigan, he followed a strict routine of training and clean eating. But behind the muscle and energy, something dangerous was quietly growing. His story challenges the idea that health on the outside always reflects what’s inside. Joe’s early cancer...
Scientists from Rice University have revealed a new potential cancer treatment that uses minuscule dye molecules known as aminocyanine molecules. When these molecules are exposed to near-infrared light, they vibrate in a manner that breaks down the membranes of cancer cells. In animal and laboratory tests, this vibronic-driven action was shown to eliminate up to...
Cancer is a disease that is responsible for nearly one in six deaths globally. It is a disease that can sometimes grow over years completely unnoticed, or come on suddenly and grow at a deadly rate. The key to effective treatment and positive outcomes for cancer patients is early detection. A blood test developed in...
“You’re too young to have bowel cancer.” Unfortunately, many patients heard this when they contacted medical help for their symptoms. That’s what Stephanie Bansemer-Brown was told in 2012 before being diagnosed with stage three rectal cancer. She was 42 at the time, and fits alongside new research finding over 28,000 Australians under the age of...
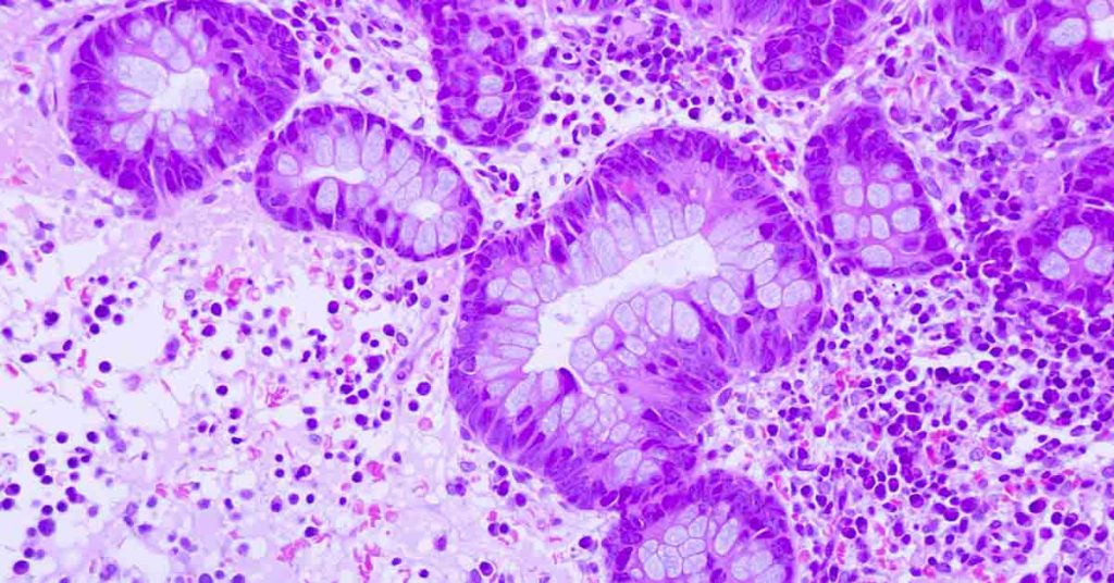
Bowel cancer refers to any cancer that develops in the large bowel, including the rectum and colon. Also known as colorectal cancer, the risk factors include family history, age, and existing medical conditions. A new study has additionally found that being overweight as a child and young adult increases your chances of subsequently developing bowel...
Mental health disorders are, unfortunately, common among prostate cancer patients. Although it has high survival rates, prostate cancer involves years of grueling treatments and long-lasting side effects that can contribute to body image issues and lowered self-esteem. And above everything is the fear of death and cancer recurrence. One study involving over 18,000 cases of...
When you’re soaking through sheets and feeling bone-tired despite rest, your body might be sending urgent messages that are more alarming than you’d expect. Night sweats and crushing fatigue? They’re common cancer symptoms that just happen to strike at night while you’re sleeping. These experiences don’t guarantee cancer. Most people with these signs have other causes. But recognizing when they shift from normal to concerning can help...
A new medical simulation video by Dr. Paulien Moyaert shows how cancer progresses and leads patients to death. The truth is very different from what most people think. Instead of “spreading everywhere,” cancer kills by attacking specific organs that keep us alive. The deadliest process starts when a single cancer cell breaks away from the original tumor and travels through the blood...